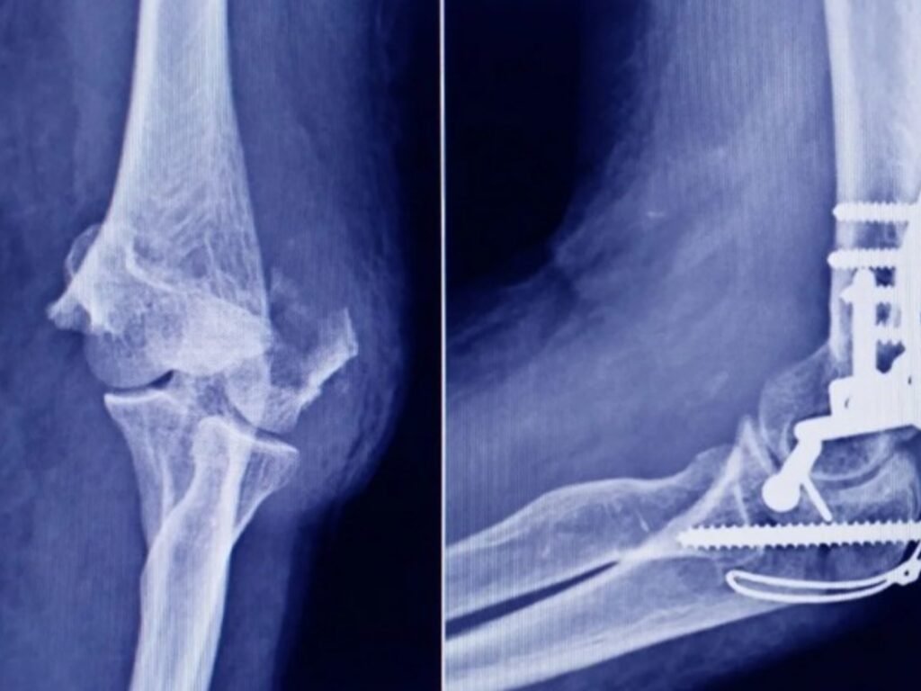
Uncategorized La ANMAT advierte que un tornillo utilizado en cirugías traumatológicas fue falsificado adminhace 4 mesesMenos de 1 min21,0 Vistas Lo encontraron en una ortopedia de San Miguel de Tucumán. El organismo gubernamental marcó las diferencias entre el producto original y el falsificado. Acciones: TE RECOMENDAMOS Uncategorized ¿A qué hora juega Colombia vs. Canadá por el Clásico Mundial de Béisbol 2026? Horarios por país y dónde ver EN VIVO el partido este sábado 7 de marzo hace 2 meses Uncategorized Venezuela-Estados Unidos HOY, EN VIVO: últimas noticias del conflicto entre Maduro y Trump, este domingo 28 de diciembre hace 4 meses Uncategorized La sorprendente decisión de Guardiola en la previa del choque clave del Manchester City vs Real Madrid por la Champions League hace 2 meses Uncategorized Ryan Castro & Gangsta Snatch First No. 1 on Latin Airplay With Kapo Collab ‘La Villa’ hace 1 mes Uncategorized Ashley Tisdale & Hilary Duff’s Mom Group Drama Explained hace 4 meses
Uncategorized ¿A qué hora juega Colombia vs. Canadá por el Clásico Mundial de Béisbol 2026? Horarios por país y dónde ver EN VIVO el partido este sábado 7 de marzo hace 2 meses
Uncategorized Venezuela-Estados Unidos HOY, EN VIVO: últimas noticias del conflicto entre Maduro y Trump, este domingo 28 de diciembre hace 4 meses
Uncategorized La sorprendente decisión de Guardiola en la previa del choque clave del Manchester City vs Real Madrid por la Champions League hace 2 meses
Uncategorized Ryan Castro & Gangsta Snatch First No. 1 on Latin Airplay With Kapo Collab ‘La Villa’ hace 1 mes